Tannkjøttsykdommer er blant de vanligste sykdommene i munnen.
Blødning ved tannpuss, følsomhet og gingival resesjon i tannkjøttet (eksponering av tannhalser) er tegn på tannkjøttsykdom; periodontitt .
Det er flere årsaker som fører til tannkjøttsykdommer som vi kan plassere to grupper:

• Dårlig munnhygiene som fører til tannstein og plakk som igjen kan føre til tannråte
• Ujevne fyllinger som har ført til plakk
• Dårlig tilpassede kroner og broer
• Dårlig ånde
• Ved tannregulering
• Avtakbare proteser
• Enkelte sykdommer som diabetes
• Fedme
• Vitaminmangel
• Bruk av narkotiske stoffer eller medisiner
• Stress
Tannkjøttsykdommer blir delt inn i to stadier: Tidlig fase og avansert fase.
I den tidlige fasen er tannkjøttsykdommen kategorisert som gingivitt som kun er problemer med tannkjøttet og behandlingen er å opprettholde en god munnhygiene.
I den avanserte fasen er vi kommet til det stadiet hvor betennelsen også har angrepet beinstrukturen i tannen i tillegg til tannkjøttet.

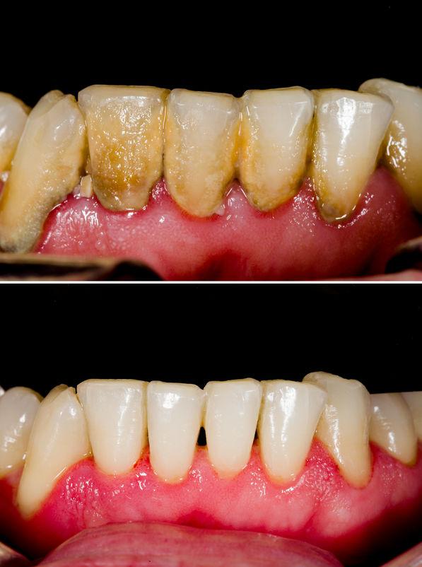
I tilfeller av gingivitt og periodontitt, er den første behandlingen som utføres en grundig tannrengjøring for å fjerne alt av plakk og tannstein for å fjerne alt av skadelige faktorer fra tann og rotoverflater. Det brukes blant annet ultralydinstrumenter til rengjøringen.
Med den utviklende teknologien har Air Flow blitt inkludert i odontologiske behandlingen. Luftstrøm i ett bestemt trykk med en blanding av tannrengjøringspulver og vann som påføres tannflatene.

Fordeler ved bruk av Air Flow ;
• Tilgang til alle flater av tennene
• Er praktisk å anvende og forkorter behandlingstiden
• Ingen smerter eller ubehag for pasienten
Tannrengjøringen fullføres med polering av tennene . Det bør gjentas hver 6. måned. Ved behandling av periodontitt anvendes forskjellige typer av kirurgiske prosedyrer i henhold til mengden beintap etter tannrengjøring.
Leppene og tannkjøttet er veldig viktig for et tilfredsstillende og estetisk smil. Ved et smil betraktes 2 mm. synlighet av tannkjøttet som normalt. Det ikke-estetiske smilet defineres ved mer enn 2 mm. synlig tannkjøtt og kalles Gummy Smile
Årsaker til Gummy Smile;
• Intense aktiviteter i musklene
• Forsinkede eller passive tannutbrudd
• Ikke ideell plassering av leppene i øvre og nedre kjevebein
Behandling av Gummy Smile;
• Kirurgisk forming av tannkjøttet (Gingivektomi)
• Botulinumtoksin (botox) behandling
• Omplassering av leppen
• Kjeveoperasjoner
Disse metodene brukes alene eller sammen etter klinisk undersøkelse. Etter Gummy Smile-behandlingen er gjort, oppnås et ideelt smil ved å påføre porselensbelegg (krone) eller laminatfinerbehandling (skallfasetter)